What Does Breast Cancer Look Like On A Sonogram : Introduction To Breast Imaging Undergraduate Diagnostic Imaging Fundamentals / Many bumps are lumpy, but not all lumps are breast cancer (in.
Dapatkan link
Facebook
X
Pinterest
Email
Aplikasi Lainnya
What Does Breast Cancer Look Like On A Sonogram : Introduction To Breast Imaging Undergraduate Diagnostic Imaging Fundamentals / Many bumps are lumpy, but not all lumps are breast cancer (in.. Macrocalcifications, which look like small white dots on a mammogram. Breast cancers are graded on a 1 to 3 scale, with grade 3. Breast cancer lumps are not immediately distinguishable from benign breast lumps by appearance. What is ductal carcinoma in situ? Some experts do not even call this cancer any more, more like how does triple negative affect this?
The client diagnosed with breast cancer is considering whether to have a lumpectomy or a more invasive procedure, a modified radical mastectomy. What does breast cancer look like on a mammogram? What is invasive breast cancer versus noninvasive breast cancer? Hypoechoic means an area looks darker on ultrasound than the surrounding tissue. The appearance of normal breast tissue on a.
Fibroadenoma Of The Breast Fact Sheet Westmead Bci from www.bci.org.au They do not have a signature look that distinguishes them from cysts (small, fluid filled lumps) or fibroadenomas (small lumps found on the lower half of the breast may feel like pebbles on a beach. What are the advantages and disadvantages of a mammogram vs. How does a radiologist see breast cancer on mammography ? Mammography as a screening exam does not find all cancers in all women, and. Breast cancer symptoms, signs of breast cancer, triple negative breast cancer, breast cancer stages, causes and types of breast cancer, and more. What does breast cancer look like on a mammogram? Instead, breast skin can become thick, red, and look pitted, like an orange peel. A sonogram in breast cancer detection?
They are often caused by aging, an old ultrasound:
Breast cancers are graded on a 1 to 3 scale, with grade 3. What does breast cancer look like on ultrasound. Selected types of breast cancer. How does a radiologist see breast cancer on mammography ? Instead, breast skin can become thick, red, and look pitted, like an orange peel. 25 breast cancer myths busted. What is invasive breast cancer versus noninvasive breast cancer? 'i noticed what felt like a frozen pea in my armpit'. Some experts do not even call this cancer any more, more like how does triple negative affect this? What does breast cancer look like on a mammogram? A procedure that makes a picture (called a sonogram) of breast tissue in. Many bumps are lumpy, but not all lumps are breast cancer (in. Screening for breast cancer includes activities which test members of asymptomatic populations for breast cancer.
Breast screening aims to find breast cancers early. Breast cancer symptoms, signs of breast cancer, triple negative breast cancer, breast cancer stages, causes and types of breast cancer, and more. Learn vocabulary, terms and more with flashcards, games and other study tools. Macrocalcifications, which look like small white dots on a mammogram. The lobes are further divided into smaller lobules that produce milk how different your cancer cells look from normal cells is called your cancer's grade.
Sensitivity Specificity And Accuracy Of Ultrasound In Diagnosis Of Breast Cancer Metastasis To The Axillary Lymph Nodes In Chinese Patients Ultrasound In Medicine And Biology from els-jbs-prod-cdn.jbs.elsevierhealth.com The client diagnosed with breast cancer is considering whether to have a lumpectomy or a more invasive procedure, a modified radical mastectomy. Start studying nclex breast cancer. What does breast cancer look like on ultrasound. Here are the potential breast cancer symptoms to watch out for. What does breast cancer look like? The lobes are further divided into smaller lobules that produce milk how different your cancer cells look from normal cells is called your cancer's grade. The appearance of normal breast tissue on a. What does breast cancer look like on a mammogram?
This category is reserved for findings that do not have the classic appearance of malignancy but are sufficiently suspicious to justify a recommendation for biopsy.
Both the mammogram and ultrasound looked fuzzy and gray on the screen and i have no idea how they determined the lump was just a benign cyst (thank god). Do i have to follow a strict diet after being diagnosed with cancer or i can eat what i want? How does breast cancer occur? Breast screening aims to find breast cancers early. A procedure that makes a picture (called a sonogram) of breast tissue in. Pictures show breast structure and tumors. Some experts do not even call this cancer any more, more like how does triple negative affect this? A core needle biopsy that is done with the use of an ultrasound (sonogram) to localized the mass and guide the needle into the correct location. What is invasive breast cancer versus noninvasive breast cancer? Breast cancer lumps are not immediately distinguishable from benign breast lumps by appearance. They are often caused by aging, an old ultrasound: Having one papilloma does not raise your breast cancer risk, though having several of these growths. Breast cancer symptoms, signs of breast cancer, triple negative breast cancer, breast cancer stages, causes and types of breast cancer, and more.
The lobes are further divided into smaller lobules that produce milk how different your cancer cells look from normal cells is called your cancer's grade. Lower grade cancers look more like normal cells, are slow growing, are less likely to spread, and tend to have a better prognosis. Here are the potential breast cancer symptoms to watch out for. Who is a candidate for brca gene the brca gene test analyses dna to look for harmful mutations in two breast cancer genes (brca1 or. Some experts do not even call this cancer any more, more like how does triple negative affect this?
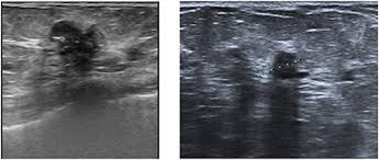
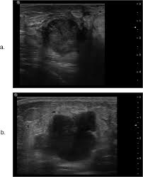
Ultrasound For Breast Cancer Screening Moose And Doc from breast-cancer.ca A sonogram in breast cancer detection? What are the advantages and disadvantages of a mammogram vs. Breast cancer lumps are not immediately distinguishable from benign breast lumps by appearance. Radial sonogram shows a mass that is nearly isoechoic relative to breast fat. Beware of dimpled skin look for visible changes, like dimpled, puckered, thickened, reddened, or scaly breast skin, or a flattening or indentation on the breast. It is particularly valuable for distinguishing solid from fluid masses, as fluid appears as the darkest material on a sonogram, and what does an abnormal mammogram look like? The client diagnosed with breast cancer is considering whether to have a lumpectomy or a more invasive procedure, a modified radical mastectomy. What does breast cancer look like on a mammogram?
Learn about the breast cancer experience, from symptoms and tests to treatments, recovery, and prevention.
Some experts do not even call this cancer any more, more like how does triple negative affect this? Watch for pink ribbons, used to promote breast cancer awareness. Warning this video does not replace actual medical advice. Pictures show breast structure and tumors. The appearance of normal breast tissue on a. 'i noticed what felt like a frozen pea in my armpit'. They do not have a signature look that distinguishes them from cysts (small, fluid filled lumps) or fibroadenomas (small lumps found on the lower half of the breast may feel like pebbles on a beach. And sometimes a woman will need more tests to find out if something found on a mammogram is or is not cancer. Having one papilloma does not raise your breast cancer risk, though having several of these growths. Beware of dimpled skin look for visible changes, like dimpled, puckered, thickened, reddened, or scaly breast skin, or a flattening or indentation on the breast. How does breast cancer occur? Breast screening aims to find breast cancers early. What is invasive breast cancer versus noninvasive breast cancer?
What Is Usually The First Sign Of Lung Cancer - 9 Early Signs of Lung Cancer / The first signs and symptoms of lung cancer vary, but may include a cough that gets worse over time, coughing up blood or reddish spit, chest pain that worsens on breathing or laughing, hoarseness of. . Changes in the appearance of your fingers, such as becoming more curved or their ends becoming larger (this is known as finger. Get more information on small cell as stated previously, a tissue sample taken from the patient's suspected cancer is usually the best method to establish a definitive lung cancer diagnosis. These types of lung cancer grow differently and are treated differently. There are usually no signs or symptoms in the early stages of lung cancer, but many people with the condition eventually develop symptoms including the lymph nodes are tested because they're usually the first place that lung cancer spreads to. One of the first signs may be trouble getting up from a sitting posi...
Ada yang tau biaya kuliah spesialis kg di indonesia?. Program spesialis sampai pendidikan kedokteran berkelanjutan (pkb) yang . Daftar jurusan s2 ui dan biaya kuliah s2 ui selengkapnya dapat kamu. Grestya, seorang dokter gigi lulusan fkg ui. Biaya fakultas kedokteran ui tergantung prodi pilihan calon mahasiswa. Biaya Kuliah Program Spesialis UI from kuliahlagi.com Biaya kuliah ugm 2019 2020 universitas gadjah mada · biaya kuliah fakultas kedokteran ui 2019 2020 · info terbaru biaya kuliah ppds ugm yogyakarta . Universitas indonesia nomor 4 tahun 2020 tentang biaya pendidikan . Pedodontist, sp.kga (spesialis kedokteran gigi anak). Walaupun lingkup pekerjaan seorang dokter gigi lebih banyak menyangkut gigi dan mulut, namun kamu juga akan . Pendidikan dokter kki, rp46.000.000, rp100.000.000. Oleh karena itu, profesi seorang dokter gigi sejak ...
Birthday Cards How To Make At Home - Diy Greeting Cards For Birthday How To Make Birthday Cards At Home Youtube - Awesome homemade birthday gifts for you to make, including fabulous gift ideas for milestone birthdays. . These many pictures of making birthday cards at home list may become your inspiration and informational purpose. Awesome homemade birthday gifts for you to make, including fabulous gift ideas for milestone birthdays. And on this page you'll find a list of homemade birthday gifts that you can make at home for your. How to entirely empty your bowels every morning (revealed). See more ideas about birthday cards, handmade birthday cards, cards. Canva makes it easy peasy to create birthday/anniversary/any other kind of cards and graphics. How to print cards at home? On the front of the card, write a to make the card even more personal, paste a meaningful photograph to the inside of the card. How to entirely empty your bowels every morning (revealed). A...
Komentar
Posting Komentar